Чёрная плесень в квартире или доме – чем это опасно


Чем опасна черная плесень в доме для организма человека и как от неё избавиться – это сложный вопрос, который беспокоит многих людей. Ведь некоторым жильцам приходится периодически сталкиваться с появлением черных плесневых грибов в собственной квартире или частном доме. Крайне неприятно увидеть колонии грибков на продуктах, которые долго лежат на полке, или на стенах в ванной комнате и в других помещениях.

От такой проблемы следует незамедлительно избавляться, потому что плесень провоцирует различные заболевания у членов семьи. Тем не менее, сделать это быстро получается не во всех случаях, но и оставлять проблему без решения тоже нельзя. Для того, чтобы найти оптимальный способ избавления от напасти, мы рассмотрим опасные последствия грибков, какие виды чаще всего появляются в квартирах и как справиться с ними самостоятельно.

Чем опасна черная плесень в доме для организма человека и как от неё избавиться?

Какие бывают виды черной плесени?

Если не всматриваться, то на первый взгляд покажется, что следы от плесени – это обычные загрязнения, которые получится быстро удалить. Тем не менее, это совсем не так.

Мнение эксперта: Масальский А.В.

Редактор категории «строительство» на портале Stroyday.ru. Специалист по инженерным системам и водоотведению.

Налет плесени – это множественные колонии мелких грибков, которые расселяются практически на любых поверхностях. Кроме того, они отличаются по видам, поэтому перед тем как приступить к борьбе, необходимо подробно их рассмотреть.

Черный аспергилл

Это микроскопический организм, который активно распространяется в местах скопления влаги: в санузле, на кухне, в помещении с бассейном. Часто грибки можно встретить в устройстве для увлажнения воздуха, на резиновом уплотнителе возле барабана стиральной машины.

Колонии черной плесени активно распространяются на перекрытиях, которые контактируют с водой (стены, потолки), а также на картонных обложках книжек, горшках с цветами. Тем не менее, основным местом скопления спор являются промежутки межу кафелем в ванной комнате или туалете.


Грибок в макроувеличении

Если рассматривать колонии грибков под микроскопом, то можно заметить, что выглядят они безобидно. Тем не менее, они не только подрывают здоровье человека, но еще могу стать причиной смерти.

Если в помещении на поверхностях или каких-либо предметах присутствуют споры, то они продолжают распространяться по воздуху. Это значит, что грибки быстро оседают на нашей еде, личных вещах. Кроме того, жильцы квартиры и домашние питомцы ежедневно вдыхают эти микроорганизмы с воздухом, из-за чего они скапливаются в органах дыхания.

Даже если первое время вы не замечаете каких-либо опасных последствий, то через несколько месяцев или лет, это приведет к тяжелым заболеваниям:

  • воспалению оболочек мозга;
  • миокардиту;
  • бронхиту или воспалению легких;
  • раздражению слизистой оболочки носа.

Были зарегистрированы случаи, когда чрезмерное скопление грибковых спор становилось причиной образования папиллом и даже раковых клеток. Если при одном вдохе в легкие человека проникнет огромное количество спор, то у него может случиться токсическое поражение организма. При наличии слабых защитных функций (что распространено среди населения), это неизбежно приведет к смерти.

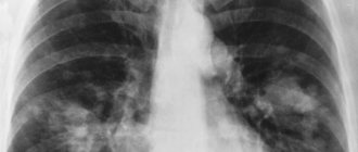
Именно споры этого грибка провоцируют болезнь – аспергиллему тканей легких. Так, споры грибков сначала попадают в носоглотку, затем перемещаются к бронхам и другим органам дыхания.


Главная опасность в том, что споры стремительно развиваются

Жизнедеятельность колоний способствует выделению опасных веществ, из-за которых на тканях формируются некротические очаги. Со временем эти очаги увеличиваются, ткани легких отмирают, что провоцирует удушье и летальный исход.

Дымящий аспергилл

Это тоже опасная разновидность грибков, основным отличием которой является устойчивость к высоким температурам (до 60 градусов). Такие грибки имеют микроскопические споры, их размер составляет – меньше 2,5 мкм, поэтому с потоками воздуха они попадают в дыхательные пути.

Стоит отметить, что люди с крепким иммунитетом могут ежедневно дышать воздухом, насыщенным спорами грибка, что не вызовет печальных последствий. Тем не менее, далеко не каждый человек сейчас может похвастаться идеальным здоровьем, поэтому для людей с пониженными защитными функциями организма крайне опасно вдыхать споры.

Риск увеличения количества больных возрастает тогда, когда вблизи госпиталей проводят ремонтные работы, ведь в стационарах находятся пациенты со слабым здоровьем, организм которых уязвим перед любым негативным воздействием. Поэтому в таких ситуациях проводят проверку воздуха на наличие грибковых спор.


Так выглядят колонии грибков, которые были выращены на чашке при лабораторном исследовании — как правило, споры имеют зеленоватый оттенок

Зеленая плесень стремительно распространяется на плодах фруктовых деревьев, в местах повреждений. Если вы замечаете, что на хлебе быстро образуются налет плесени, то скорей всего муку изготавливали из пораженного зерна.

Главной опасностью грибков этого вида является то, что они накапливаются в организме человека, а затем провоцируют различного рода аллергические реакции. Кроме того, попадая в систему кроветворения, споры уничтожают красные кровяные тельца. Повышенная интоксикация организма препятствует укреплению иммунитета.

Альтернария

Это еще одна не менее опасная разновидность плесени. Колонии этих грибков могут иметь различный вид — это зависит еще и от среды, на которой они расселяются. Часто на поверхностях появляются темные пятна, но иногда они имеют другой оттенок.

Практически всегда именно такие грибки поселяются на растительности. Обнаружить их можно на опавшей листве осенью, а также на овощах и фруктах, которые долгое время пролежали на полке. Кроме того, споры образуются на почвенном покрове.

Стоит отметить, что появляются такие грибки на любых продуктах питания, даже на мясе. К тому же, они распространяются на тканях натурального происхождения. Ядовитые выделения грибков отравляют и уничтожают всходы, в том числе зерновые культуры.


Пораженные луковицы

Практически каждому человеку доводилось увидеть на прилавках магазина овощи, на которых имеется плесень, а потому не следует приносить в свою квартиру такой источник грибков.

В брусовых домах споры распространяются быстрее, чем в конструкциях из бетона или кирпича. Размножаются они при наличии тепла и незначительной влажности. Прямое поражение наблюдается при непосредственном контакте со спорами плесени, тем не менее, получить отравление можно и от токсичных продуктов жизнедеятельности колоний.

Ядовитые вещества провоцируют развитие бронхита, астмы, кожных высыпаний. К тому же, споры грибков становятся причиной развития аллергической реакции у людей, которые имеют к ним чувствительность.


Ядовитые вещества провоцируют развитие бронхита

Симптомы появления плесени в комнате и в вашем организме

По мнению большинства людей, вред от данных микроорганизмов заключается лишь в том, что пищу приходится выбрасывать, а на поверхностях разрастаются эстетически не привлекательные пятна. Но, задумайтесь, всего 1 м2 грибка способен в день производить более 1 миллиарда спор. Представьте себе, что будет, если вопросом, как бороться с черной плесенью в ванной (или любой другой) не заниматься на протяжении недели, месяца, года. Разносимые вокруг микроорганизмы будут оседать на вашей коже, попадать в дыхательные и кровеносные пути, в пищу (а вместе с ней и в желудок). Вы уверены, что сможете противостоять такому массовому воздействию?

Ответ «да» будет актуален лишь в том случае, если вы знаете не только как бороться с черной плесенью, но и как выявить симптомы ее пагубного воздействия на организм. Поражение происходит медленно и на первых стадиях незаметно, но если вы обнаружили у себя нижеописанные симптомы, рекомендуем провериться у врача, пока не стало слишком поздно. Поражение затрагивает:

  • Органы дыхания, что являются первым оплотом, атакуемым бессчетным числом спор и микроорганизмов. Если вы не найдете времени на то, чтобы убрать плесень в ванной, это может обернуться для вас астмой, аллергией, бронхопульмональным/инвазивным аспергиллезом и даже смертью. Сигналом к внеплановой проверке состояния вашего здоровья могут послужить возникающие без видимых причин трудности при дыхании, кашель и насморк, боли в горле и носовые кровотечения.
  • Глаза и кожный покров – это следующая зона поражения, проблемы с которой должны заставить вас задуматься, как вывести плесень в ванной. Свободно перемещаясь по воздуху, споры плесени оседают на всех открытых участках вашего тела, вызывая раздражение и зуд кожи, а также повышенную слезоточивость глаз. Продолжительный же контакт с плесенью способен и вовсе перерасти в серьезные болезни, такие, как конъюнктивит или дерматоз.
  • Внутренние органы наиболее уязвимы для плесени. Если зараза попала в ваш организм через кровеносную систему или вместе с едой, то последствия могут быть крайне опасны. В зону риска попадают почки, печень и весь желудочно-кишечный тракт, не говоря уже о том, что вполне вероятно заражение крови. Сигналы в этом случае весьма размыты: мигрень, проблемы со «стулом», повышенная усталость. Но если они не проходят на протяжении, хотя бы, 4 дней, – самое время записываться на прием к врачу.

Когда заражение уже произошло, решение вопроса, как вывести плесень в ванной, здоровье вам уже не вернет. Поэтому не стоит затягивать с устранением заразу, а лучше сразу обратиться к профессионалам.

Что способствует размножению грибков?

Мы рассмотрели только опасность распространения плесени. Тем не менее, для того чтобы избавиться от этой проблемы, необходимо ознакомиться с причинами, из-за которых происходит размножение микроорганизмов. Следует выяснить, какими путями споры попадают внутрь, чтобы своевременно провести мероприятия по борьбе.

Мнение эксперта: Масальский А.В.

Редактор категории «строительство» на портале Stroyday.ru. Специалист по инженерным системам и водоотведению.

Тепло и влага – это факторы, способствующие размножению микроорганизмов. Нередко происходит активное разрастание колоний при влажности воздуха выше 75% и температуре от 20 до 30 градусов. Если комната еще должным образом не проветривается, то колонии распространяются намного быстрее.


Бывает намного легче предотвратить появление налета плесени, чем бороться с последствиями этой напасти

Причем для того, чтобы устранить опасные причины, не потребуется каких-либо финансовых вложений, ведь спасти положение может даже элементарное проветривание комнаты.

Существуют и другие факторы, влияющие на этот процесс, которые, как правило, игнорируются. Так, очевидно, что проблема возросла с появлением новых технологий проведения строительных работ.

Пластиковые окна и двери

Сейчас уже практически все владельцы квартир и частных домов переходят на окна из пластика, потому что такие конструкции обеспечивают шумоизоляцию, по сравнению с деревянными аналогами.

К тому уже, пластиковые окна лучшим образом сохраняют тепло в помещении, не требуют сложного ухода. Как правило, конструкции из пластика еще отличаются длительной эксплуатацией. Тем не менее, неправильная установка и дальнейшее использование пластиковых окон приводит к распространению плесени.


Нередко испарения собираются на стеклах окон, если они устанавливаются неквалифицированным мастером

Особенность в том, что подобные конструкции закрываются герметично, это в свою очередь нарушает циркуляцию воздуха, которая имеется при наличии деревянных конструкций. Кроме того, конденсат на поверхности скапливается еще при неправильном подборе количества стекол, некачественных материалов, нарушений в процессе установки.

Это значит, что наличие пластиковых окон или дверей способствует увеличению влажности внутри помещения. Тем не мене, производители окон предусмотрели подобную проблему и создали специальный клапан вентиляции. Поэтому, независимо от времени года, рекомендуется проветривать комнату, иначе не получится избежать скопления колоний грибков.

В специальной статье расскажем, почему запотевают пластиковые окна внутри и можно ли этого избежать?


Последствия излишней сырости — пятна плесени на откосах и стенах

Гипсокартонные панели

Этот стройматериал, который предпочитают многие мастера, ведь его использование позволяет отделать даже неровную стену. Кроме того, из таких панелей делают фигурные перегородки, различные конструкции с горизонтальными и вертикальными элементами.

Поэтому, чтобы не сделать из помещения настоящий «рассадник» для плесени, необходимо придерживаться правил проведения монтажа. Так, при отделке панелей следует выжидать время, чтобы штукатурка просохла.

Мнение эксперта: Масальский А.В.

Редактор категории «строительство» на портале Stroyday.ru. Специалист по инженерным системам и водоотведению.

Если гипсокартоном предстоит отделать помещение с высоким уровнем влажности, то необходимо выбирать панели, которые подходят под такие условия. Кроме того, в процессе отделки должна использоваться грунтовка и штукатурка с добавлением антисептиков.


При изготовлении гипсокартонных конструкций следует учитывать, что этот материал поглощает влагу, которая долго задерживается внутри

Плохая вентиляция

Довольно редко в помещении в сантехнический узел устанавливают окна, но кроме того, там часто отсутствует нормальная вентиляция. Из-за чего внутри наблюдается чрезмерный уровень влаги, ведь там устанавливается ванна, душ, машина для стирки, сушилка для белья и полотенец — естественной вентиляции здесь явно недостаточно.

Здесь останется только установить качественную вытяжную систему. Это позволит решить уже имеющуюся проблему с плесенью, а также предотвратить повторное появление.


Постоянный контакт перекрытий с водой становится причиной стремительного роста колоний грибков

Влажность перекрытий

Нередко встречаются такие ситуации, когда при создании проекта многоквартирного или частного дома не учитывают точку образования испарений на перекрытиях. Это приводит к тому, что в период ливней или в холодную погоду стены перемерзают, становятся сырыми. Со временем на поверхности будут распространяться колонии плесени.

Опасность в том, что сначала грибки появляются с наружной стороны, но через время они устремляются в глубину перекрытия и прорастают внутри. Процесс происходит намного быстрее тогда, когда на стенах имеются повреждения, микротрещины.

Часто источником грибков становится подвальное помещение, где в любое время года наблюдается высокая влажность. Оттуда споры распространяются по другим помещениям через вентиляцию.

Если речь идет о собственном доме, то необходимо самостоятельно позаботиться о создании надежной вентиляции. Когда источником плесени является подвал многоэтажного дома, следует обращаться к сотрудникам ЖЭКа.


Наличие множественных колоний черной плесени способствует ослаблению несущих стен, поэтому возникает риск разрушений

Основные причины появления черной плесени в доме


Споры грибков всегда присутствуют в воздухе. Для их активации нужны определенные условия: постоянно температура (выше +20 градусов) и высокий порог влажности. Ошибки проектирования вентиляционных и отопительных систем приводят к тому, что воздух внутри помещения застаивается. Образуются водяные пары. Конденсат скапливается на деревянных поверхностях. Это стимулирует появление плесени. Существует большое количество разновидностей грибков.

Белая плесень в каркасном доме (мукор)– самое опасное явление. Особой угрозы для здоровья человека она не представляет, но всего за четыре месяца такой грибок способен уничтожить доски толщиной до четырех сантиметров. Бороться с ним крайне сложно. В некоторых случаях проще бывает полностью сжечь здание и не допустить распространение грибка по всему поселку.

Синева на стенах деревянного дома – тоже не редкое явление. Этот грибок поражает клетчатку дерева. Когда туда попадает вода, основа начинает стремительно гнить. Распознать наличие плесени можно по налету характерной окраски. Для человека описываемый вид микроорганизма безобиден, поэтому его споры используются для производства сырных деликатесов.

Как бороться с черной плесенью?

Если вы обнаружили в квартире даже незначительный налет плесени, то следует незамедлительно приступать к борьбе с проблемой. Иначе вы рискуете упустить время, за которое споры успеют распространиться дальше.

Чаще всего хозяйки используют специальные противогрибковые препараты, которые можно найти в магазине. В их составе уже содержатся компоненты, которые препятствуют образованию плесени. К этой категории относятся средства: «АБЕДИС 06», «Dali», «Ceresit».

От грибков различных видов помогает избавиться ультрафиолетовая лампа. Только перед тем, как включить это устройство, следует убедиться, что в комнате отсутствуют люди, а также животные и растения.


УФ-лампа уничтожает споры грибков в любом количестве, ведь не зря на улице они расселяются только в тени

Мнение эксперта: Масальский А.В.

Редактор категории «строительство» на портале Stroyday.ru. Специалист по инженерным системам и водоотведению.

Если плесень имеется на каких-либо предметах, то их необходимо вынести из квартиры и утилизировать. Когда грибки скапливается на гладких поверхностях (стекло, кафель), то справиться с проблемой получится с помощью народных средств, которые мы рассмотрим подробнее.

Таблица 1. Народные рецепты от плесени.

Средство, иллюстрацияСпособ применения


Пищевая сода

Нетоксичное средство, которое найдется на кухне каждой квартиры. Достаточно растворить соду с водой и опрыскать поверхность из распылителя, а затем протереть тряпкой.


Уксусная кислота

Необходимо нанести кислоту на поверхность с грибками без добавления воды, оставить на несколько часов, а потом смыть.


Пероксид водорода

Необходимо взять вещество (2,5%), обработать пораженную поверхность, а через 5-6 часов смыть водой.


Эфирное масло чайного дерева

Необходимо добавить около 12 мл масла на стакан с водой, далее залить этот раствор в пульверизатор и опрыскать поверхность. Для достижения положительного результата рекомендуется провести процедуру 3-4 раза.

Видео – Народные методы борьбы с грибками

Обработка помещения от плесени: что можно и нужно использовать

Как мы уже выяснили, черная плесень в ванной (и любая другая) наносит вред не только поверхностям, на которых произрастает, но воздуху в данном помещении. Она насыщает его опасными для человека спорами, придавая специфический запах сырости и гнили. Поэтому, даже если сама зараза еще не дала о себе знать, но «душок» уже появился, медлить нельзя. Необходимо срочно приступать к обработке помещения. Проводить эту процедуру можно как самостоятельно, так и обратившись за помощью в специализированные службы. Что лучше? Решать вам. Мы же лишь рассмотрим основную суть обоих методов.

Сода, уксус, спирт и другие народные средства, помогающие в борьбе с плесенью


Черная плесень
Принято считать, что как бороться с черной плесенью знают лишь профессиональные дезинфекторы. Но так ли это на самом деле? И чем опасны, на первый взгляд, безобидные методы самостоятельной борьбы?

  • Антисептическая грунтовка считается сегодня наиболее эффективным из всех известных приемов самостоятельной борьбы. В ее состав входят специальные добавки, которые не только не позволяют грибку произрастать вглубь, но и уничтожают его в случае контакта.
  • Нашатырный спирт отлично справляется с плесенью, произрастающей на твердых поверхностях, например, на плитке или стекле. Смешав с обычной кипяченой водой (соотношение 1:1), его распыляют пульверизатором над проблемной областью и оставляют на 1,5-2 часа. Решать с его помощью вопрос, как удалить черную плесень в ванной, могут практически все, за исключением тех людей, что находятся в «завязке».
  • Отбеливатель для белья содержит в своем составе гидрохлорид натрия, что способен побороть не только сам грибок, но и его споры. Его можно применять практически на всех поверхностях, за исключением тех, что могут быть испорчены отбеливающим эффектом.
  • Перекись водорода выступает одним из наиболее эффективных противогрибковых средств. Она не токсична и используется по аналогии с нашатырным спиртом.
  • Пищевая сода, будучи натуральным очистителем, станет настоящим спасением для тех, кто не знает, как убрать черную плесень в ванной. Растворенная теплой воде (соотношение 1 ч.л: 1 стакан), она наносится на подверженный заражению участок и должна оставаться там максимально долго.
  • Столовый уксус является кислотой, а значит, черная плесень в ванной не имеет против него никаких шансов. Правда, результата можно достигнуть нанося его на зараженную поверхность минимум раз неделю, что, с учетом его специфического резкого запаха, придется по душе немногим.

И хотя все эти средства действуют совершенно по-разному, ответа, как убрать плесень в ванной навсегда, они не дают. Более того, большинство из них токсичны и при неправильном использовании способны существенно навредить как телу, так и здоровью. Причем, не только вашему, но и всех тех, кто бывает в данном помещении.

Поэтому, если не хотите тратить деньги не только на препараты, но и затем на лекарства, единственным верным решением будет обратиться к профессионалам.

ТОП-10 лучших средств от плесени

ФотоНазваниеРейтингЦена
#1

HG Mould Spray⭐ 99 / 100Узнать подробнее
#2

Dali (Дали)⭐ 98 / 100Узнать подробнее
#3

Bagi Анти-плесень⭐ 98 / 100Узнать подробнее
#4

Альпа Фонгифлюид⭐ 97 / 100Узнать подробнее
#5

Cillit BANG спрей Черная Плесень⭐ 96 / 100Узнать подробнее
#6

Стоп-Плесень Olimp⭐ 95 / 100Узнать подробнее
#7

Абедис 06⭐ 94 / 1001 — голосУзнать подробнее
#8

Neomid BIO Ремонт⭐ 93 / 100Узнать подробнее
#9

Belinka⭐ 92 / 100Узнать подробнее
#10

Eskaro Biotol Spray⭐ 91 / 100Узнать подробнее

Какое средство от плесени вы бы выбрали или посоветовали?

Принять участие в опросе

Удаляем плесень с перекрытий: пошаговая инструкция

Сложнее бывает справиться с плесенью, если колонии распространяются на поверхности штукатурки или обоев, поэтому такой процесс следует рассмотреть подробнее.


Меры безопасности

Шаг первый: первым делом необходимо снять верхний слой отделки. Это может быть штукатурка или обои.


С помощью шпателя или металлической губки с поверхности удаляется слой штукатурки с плесенью

Шаг второй: далее эту стену необходимо тщательно просушить.


Рекомендуется использовать промышленный фен

Шаг третий: после чего необходимо из пульверизатора тщательно обработать поверхность, где располагалась плесень и ближние участки.


Наносим антисептик с помощью распылителя

Шаг четвертый: далее останется дождаться высыхания стены, а затем нанести грунтовку и шпаклевку.


Наносим завершающую отделку на стены

Видео – Избавляемся от грибка на стенах

Разновидности плесени

Многие видели в живую или фото плесени на стенах и замечали, что она может быть разной по цвету и структуре. Перед тем как рассказать о том, как избавиться от плесени на стенах рассмотрим разновидности плесени:

Aspergillus niger – черная плесень, которая может жить на различном строительном материале (бетон, штукатурка, побелка). Проникая в структуру материала, она постепенно разрушает его.

Этот вид плесени устойчив к холоду и возникает даже в заброшенных помещениях. Эта плесень может привести к аспергиллезу, проявляющемуся в аллергических реакциях.

Penicillium – зелено-голубая плесень, менее вредная, чем черная, но также может вызывать аллергию.

Fusarium – белого и бурого цвета, вредна для растений.

Serpula lacrymans – пушистый налет белого цвета. Разрастается на древесине, опасна эта плесень как для деревянных поверхностей, так и для человека.

Голосование: какое средство от плесени самое лучшее?

Какое средство от плесени вы бы выбрали или посоветовали?

HG Mould Spray

0.00% ( 0 )

Dali (Дали)

0.00% ( 0 )

Bagi Анти-плесень

0.00% ( 0 )

Альпа Фонгифлюид

0.00% ( 0 )

Cillit BANG спрей Черная Плесень

0.00% ( 0 )

Стоп-Плесень Olimp

0.00% ( 0 )

Абедис 06

100.00% ( 1 )

Neomid BIO Ремонт

0.00% ( 0 )

Belinka

0.00% ( 0 )

Чем опасна плесень в квартире?

Грибок разрушает выбранную им поверхность квартиры – мебель, обшивку, стены, подоконники. Он производит множество микроскопических спор, задержать которые не могут ни фильтры, ни маски. Попадая на кожу и слизистые оболочки человека, споры прорастают и начинают разлагать ткани его тела. В дыхательных путях они вызывают различные заболевания, о которых было сказано выше.

Часто только симптомы какого-либо заболевания могут сигнализировать о наличии плесени в доме или квартире. Её трудно заметить на почве, в которой обитают комнатные растения, на матрацах, стенах и обоях, на одежде и стенках шкафов. Головные боли и хроническая усталость тоже могут быть следствием обитания плесени в квартире или доме.

От чего появляется плесень на стенах

Причины возникновение грибка в доме:

  • Сырость вместе с высокой температурой воздуха, от +18 до +25 °С.
  • Плохое проветривание квартиры, как следствие, отсутствие циркуляции воздуха.
  • Неправильная эксплуатация пластиковых окон может провоцировать появление конденсата, отсыревание откосов окон, повышение общей влажности воздуха в помещении.
  • Гипсокартон, хорошо впитывает, долго удерживает влагу, является благоприятной средой для размножения колонии грибков.
Рейтинг
( 1 оценка, среднее 4 из 5 )
Понравилась статья? Поделиться с друзьями:
Для любых предложений по сайту: agrocompany-kazan@cp9.ru